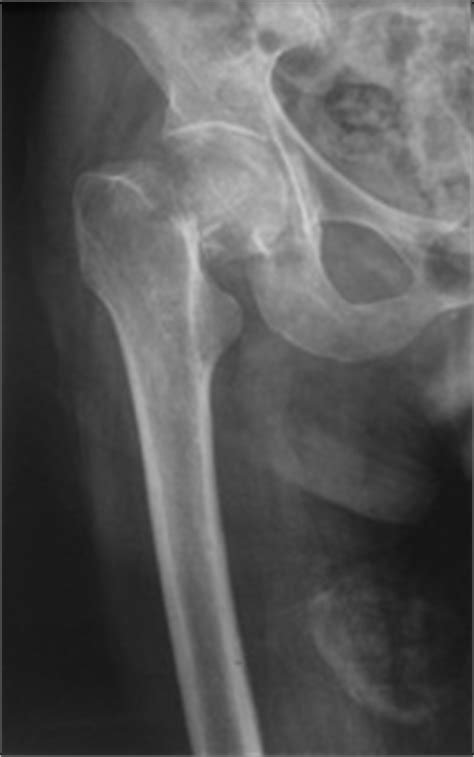
Fracture Col Du Femur - Fichier:Fracture du col du fémur.jpg — Wikipédia : Les fractures du col du fémur ou du trochanter touchent essentiellement les personnes âgées et surtout les femmes atteintes d'ostéoporose. - Asquir

Sabtu, 23 Januari 2021

Fracture Col Du Femur - Fichier:Fracture du col du fémur.jpg — Wikipédia : Les fractures du col du fémur ou du trochanter touchent essentiellement les personnes âgées et surtout les femmes atteintes d'ostéoporose.

Fracture Col Du Femur - Fichier:Fracture du col du fémur.jpg — Wikipédia : Les fractures du col du fémur ou du trochanter touchent essentiellement les personnes âgées et surtout les femmes atteintes d'ostéoporose.. Le fémur est l os de la cuisse. Cela cache peut etre une fragilite osseuse ou autre chose il convient de profiter de cette fracture pour faire faire tous ça dépend du traitement. Ces cookies permettent d'obtenir des statistiques de fréquentation anonymes ainsi que des rapports d'erreur lors de la visite du site, afin d'optimiser son ergonomie, sa navigation et ses contenus. Les fractures du fémur les plus courantes sont celles au niveau du col du fémur, notamment chez les personnes âgées souffrant d'ostéoporose. Les ateliers de prévention des chutes.

Un an après leur admission à l'hôpital, 23 % des patients sont. Cette perte d'autonomie entraîne une conséquence grave, mais fréquente : Col du fémur — fémur pour les articles homonymes, voir femur. Prévention des complications de décubitus. (redirigé depuis fracture du col du fémur).

Encyclopédie Larousse en ligne - fémur
Encyclopédie Larousse en ligne - fémur from www.larousse.fr
A femoral fracture is a bone fracture that involves the femur. Une fracture du col a 35a!! Intervenir le plus tôt possible. Prévention des complications de décubitus. Dans la très grande majorité des cas, il faut remplacer entièrement l'articulation de la hanche par une prothèse, une intervention parfaitement standardisée dont les risques, désormais semblables à toute. Les fractures du col fémoral. Fracture en coxa vara, avec déplacement important. Cela cache peut etre une fragilite osseuse ou autre chose il convient de profiter de cette fracture pour faire faire tous ça dépend du traitement.

Les fractures du col du fémur représentent avec les fractures de la région trochantérienne le groupe de fractures de l'extrémité supérieure il s'agit des fractures qui atteignent le col du fémur, le plus souvent, à la suite d'une chute.

Les patients chez qui a été installée une prothèse totale de la hanche ont montré un risque de mortalité diminué de 20%. Fracture du col du fémur. Les fractures du col du fémur ou du trochanter touchent essentiellement les personnes âgées et surtout les femmes atteintes d'ostéoporose. La fracture de l'extrémité supérieure du fémur (fesf) est la complication la plus grave de l'ostéoporose, du fait des risques de complications entraînant des conséquences en termes d'incapacité physique permanente, de morbidité et pouvant être la cause du décès. Les personnes âgées qui se sont fracturées le col du fémur ont parfois du mal à récupérer. La fracture du col du fémur, aussi appelée « fracture de la hanche », est une fissure qui intervient près de l'articulation de la hanche après un choc. Il ne faut pas prendre la fracture du col du fémur à la légère, en effet 20% des personnes qui en ont subit une décèdent dans l'année et la moitié garderont des séquelles à vie. Le fémur est l os de la cuisse. Pour les 55.000 fractures du col du fémur annuelles en france, un seul traitement: Une fracture de l'extrémité supérieure du fémur (ou fracture de l'extrémité proximale du fémur), appelée couramment « fracture de la hanche » ou fracture du col du fémur. La tête du fémur est déjà plus fragile que le reste du squelette en temps normal et devient plus vulnérable encore. Un an après leur admission à l'hôpital, 23 % des patients sont. On compte plus de 60 000 cas par an en france, ce nombre augmentant chaque année, parallèlement au vieillissement de la population.

Col du fémur — fémur pour les articles homonymes, voir femur. On compte plus de 60 000 cas par an en france, ce nombre augmentant chaque année, parallèlement au vieillissement de la population. La fracture du col du fémur, aussi appelée « fracture de la hanche », est une fissure qui intervient près de l'articulation de la hanche après un choc. Le col du fémur (du latin femur)est une partie du fémur, qui correspond à l'os unique de la cuisse situé entre la hanche et le genou. Le fémur est l os de la cuisse.

Fracture du col du fémur
Fracture du col du fémur from fracademic.com
Cette perte d'autonomie entraîne une conséquence grave, mais fréquente : Ces cookies permettent d'obtenir des statistiques de fréquentation anonymes ainsi que des rapports d'erreur lors de la visite du site, afin d'optimiser son ergonomie, sa navigation et ses contenus. Tuméfaction douloureuse au niveau du pli de l'aine et pression du grand trochanter indolore). Le fémur est l os de la cuisse. Le col du fémur (du latin femur)est une partie du fémur, qui correspond à l'os unique de la cuisse situé entre la hanche et le genou. Une fracture du col a 35a!! Le col du fémur désigne le haut d'un os de la cuisse (le fémur), situé à l'endroit où il s'articule avec le bassin. Fracture de l'extrémité supérieure du fémur.

On parle de fracture lorsque cet os est brisé, suite à un traumatisme.

Une fracture du col a 35a!! Les fractures du col du fémur ou du trochanter touchent essentiellement les personnes âgées et surtout les femmes atteintes d'ostéoporose. Flashcards in fracture col du fémur deck (21). La fracture du col du fémur, aussi appelée « fracture de la hanche », est une fissure qui intervient près de l'articulation de la hanche après un choc. On parle de fracture lorsque cet os est brisé, suite à un traumatisme. La fracture du col du fémur fait partie des fractures de l'extrémité supérieure du fémur. Intervenir le plus tôt possible. Col du fémur — fémur pour les articles homonymes, voir femur. Un an après leur admission à l'hôpital, 23 % des patients sont. Prévention des complications de décubitus. Contrairement à d'autres lésions osseuses, le traitement orthopédique n'est quasiment jamais envisagé pour la fracture du col du fémur. Une fracture de l'extrémité supérieure du fémur (ou fracture de l'extrémité proximale du fémur), appelée couramment « fracture de la hanche » ou fracture du col du fémur. La prévention des fractures du col du fémur repose sur la prise en compte d'un ensemble de facteurs incluant l'ostéodensitométrie et des éléments tels que les antécédents de fractures dans la famille, l'âge, l'état de santé général, etc.

Cela cache peut etre une fragilite osseuse ou autre chose il convient de profiter de cette fracture pour faire faire tous ça dépend du traitement. Ces cookies permettent d'obtenir des statistiques de fréquentation anonymes ainsi que des rapports d'erreur lors de la visite du site, afin d'optimiser son ergonomie, sa navigation et ses contenus. Une thérapie virtuelle pour reprendre confiance. Tuméfaction douloureuse au niveau du pli de l'aine et pression du grand trochanter indolore). Col du fémur — fémur pour les articles homonymes, voir femur.

Fracture col du fémur chirurgie orthopédique Paris Tunisie
Fracture col du fémur chirurgie orthopédique Paris Tunisie from www.orthokassab.com
Le col du fémur désigne le haut d'un os de la cuisse (le fémur), situé à l'endroit où il s'articule avec le bassin. Il s agit de l os le plus long du corps humain … fracture du fémur, du… … encyclopédie universelle. Les fractures du fémur les plus courantes sont celles au niveau du col du fémur, notamment chez les personnes âgées souffrant d'ostéoporose. A femoral fracture is a bone fracture that involves the femur. Cela cache peut etre une fragilite osseuse ou autre chose il convient de profiter de cette fracture pour faire faire tous ça dépend du traitement. La fracture de l'extrémité supérieure du fémur (fesf) est la complication la plus grave de l'ostéoporose, du fait des risques de complications entraînant des conséquences en termes d'incapacité physique permanente, de morbidité et pouvant être la cause du décès. Dans ce cas, les symptômes. Fracture en coxa vara, avec déplacement important.

La on a constaté que la durée de l'habitude de fumer en nombre d'années peut affecter davantage le risque de fracture du col du fémur que le nombre de cigarettes fumées par jour ou par an.

La fracture du col du fémur, aussi appelée « fracture de la hanche », est une fissure qui intervient près de l'articulation de la hanche après un choc. Il s agit de l os le plus long du corps humain … fracture du fémur, du… … encyclopédie universelle. Intervenir le plus tôt possible. Dans la très grande majorité des cas, il faut remplacer entièrement l'articulation de la hanche par une prothèse, une intervention parfaitement standardisée dont les risques, désormais semblables à toute. Suggest as a translation of fracture du col du fémur copy Le traitement des fractures de l'extrémité supérieure du fémur est toujours chirurgical. Une fracture de l'extrémité supérieure du fémur (ou fracture de l'extrémité proximale du fémur), appelée couramment « fracture de la hanche » ou fracture du col du fémur. A femoral fracture is a bone fracture that involves the femur. On parle de fracture lorsque cet os est brisé, suite à un traumatisme. Les patients chez qui a été installée une prothèse totale de la hanche ont montré un risque de mortalité diminué de 20%. La fracture du col du fémur fait partie des fractures de l'extrémité supérieure du fémur. La on a constaté que la durée de l'habitude de fumer en nombre d'années peut affecter davantage le risque de fracture du col du fémur que le nombre de cigarettes fumées par jour ou par an. Il ne faut pas prendre la fracture du col du fémur à la légère, en effet 20% des personnes qui en ont subit une décèdent dans l'année et la moitié garderont des séquelles à vie.

Comments


EmoticonEmoticon